Holy moly, I'm going off those bien tui (spelling? basic sweep kick) kicks. I threw one at someone who raised his leg slightly and I hit him square on his bone. About 5 inches above the instep of my foot. And it hurt like a mother****er. Honestly...
Isn't that kick risky if you're not conditioned properly? I've seen a video clip entitled 'this'll make grown men cry' in which this guy throws a hard lowish kick, the other guy raises the leg, they clash and the kickers lower leg breaks clean in half. Nasty, made me cringe. Is the only way to assure for this not to happen to do external
conditioning?
You've got a better chance of surviving a "hard lowish kick" if you use your upper tibia, as opposed to your lower tibia. It has some to do with conditioning (which, should make the bone stronger), but quite simply, more to do with physics. You see, it's a matter of size. Ain't it always.
The lower tibia is just not as large, diameter wise, as the upper tibia. It doesn't have the amount of bone or the strength of the upper tibia; this is why, with the exception of skiing injuries, lower tibial fractures are much more common than upper tibial fractures.
So, if you're planning on throwing a leg kick against something hard, like bone (lower leg), hit him with your upper tibia. The lower tibia is not strong enough to survive as well when it comes to striking the upper tibia. On other parts of the body, the lower tibia is fine, because, it is either stronger than other bony strike areas (such as the ribs or forearm), or, it is striking against an area with more muscle (thigh, upper arm).
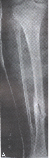
The accompanying picture demonstrates the size difference between the upper and lower tibia, and also shows a fracture of the lower tibia.
Isn't that kick risky if you're not conditioned properly? I've seen a video clip entitled 'this'll make grown men cry' in which this guy throws a hard lowish kick, the other guy raises the leg, they clash and the kickers lower leg breaks clean in half. Nasty, made me cringe. Is the only way to assure for this not to happen to do external
conditioning?
You've got a better chance of surviving a "hard lowish kick" if you use your upper tibia, as opposed to your lower tibia. It has some to do with conditioning (which, should make the bone stronger), but quite simply, more to do with physics. You see, it's a matter of size. Ain't it always.
The lower tibia is just not as large, diameter wise, as the upper tibia. It doesn't have the amount of bone or the strength of the upper tibia; this is why, with the exception of skiing injuries, lower tibial fractures are much more common than upper tibial fractures.
So, if you're planning on throwing a leg kick against something hard, like bone (lower leg), hit him with your upper tibia. The lower tibia is not strong enough to survive as well when it comes to striking the upper tibia. On other parts of the body, the lower tibia is fine, because, it is either stronger than other bony strike areas (such as the ribs or forearm), or, it is striking against an area with more muscle (thigh, upper arm).
The accompanying picture demonstrates the size difference between the upper and lower tibia, and also shows a fracture of the lower tibia.

Comment