Originally posted by shaolinstylee
Announcement
Collapse
No announcement yet.
about that "nobel prize nominee" surgeon / shiavo case
Collapse
X
-
Actually, the first time Rob#### came up with something worthwhile. It's a good point, and no one really knows if a person in this medical condition "feels" anything. I don't think anyone wants to find out.Experienced Community organizer. Yeah, let's choose him to run the free world. It will be historic. What could possibly go wrong...
"You're just a jaded cynical mother****er...." Jeffpeg
(more comments in my User Profile)
russbo.com
- Quote
- Flag
-
I don't know if I'd say that... she's been like this for a very, very long time... and if she is suffering... then I could totally understand, even if she isn't, what is the actual chance of her ever leading what we'd concider a life?obvious her husband wants her dead, thats fuc*** uppractice wu de
- Quote
- Flag
Comment
-
That very long time has been 15 years, she has been seen by countless doctors over the years and had every test possible, the brain is too damage, her chances of recovery are zero. After 15 years any healing that could of occured would have happened already.Originally posted by shaolinstyleeI don't know if I'd say that... she's been like this for a very, very long time... and if she is suffering... then I could totally understand, even if she isn't, what is the actual chance of her ever leading what we'd concider a life?
I don't know why this lady who came out of her coma in 70 days is on the news trying to compare herself to Terri Schiavo. The two cases are not even close, the family is desparate to find any kind of hope.I do not have a psychiatrist and I do not want one, for the simple reason that if he listened to me long enough, he might become disturbed.
"Life can keep providing the rain and I'll keep providing the parade."
"I would just like to say that after all these years of heavy drinking, bright lights and late nights, I still don't need glasses. I drink right out of the bottle."
"Whatever guy said that money don't buy you pleasure didn't know where to go shopping"
- Quote
- Flag
Comment
-
it's a bit of a perfect storm. If she were a litte less or a little more handicapped it wuld be a much easier diecision.
I think since the Iraq war, there has been a libertarian strain to these debates (social security, steroids, Possible war with Iran) that the governmnet maybe should just do NOTHING."I'm like Tupac: Who can stop me?"
- Quote
- Flag
Comment
-
that doesn't sound like such a bad idea to me. for a republican led government, it's been pretty damn busy the past few years. can you believe it used to be called the "federalist" party?
the point is in the schiavo case, the government has already done what it's supposed to do, namely, decided the case in the courts. right or wrong, the courts have made their decision, and we have to live with that. otherwise, the courts have no power at all.
i agree with rob actually. we can afford a lethal injection to kill a sociopath, but we can't spare that expense for an innocent woman? unless of course the doctors are 100% certain that she feels nothing, in which case, what's the point.
- Quote
- Flag
Comment
-
This came from a rant on another website, but I agree with it.
...... Laugh of the day comes to you from Floriduh (but, of course). Seems that protestors want to assist brain-dead Terri Schiavo. And how did they want to assist the vegetative woman? By bringing in bread and water to manually nourish her!! Note to those savvy saviors: unless you have a blender and a straw, Miss Schiavo would CHOKE TO DEATH on a mere bread crumb! Good try though... ya f&^%in' idiots!I do not have a psychiatrist and I do not want one, for the simple reason that if he listened to me long enough, he might become disturbed.
"Life can keep providing the rain and I'll keep providing the parade."
"I would just like to say that after all these years of heavy drinking, bright lights and late nights, I still don't need glasses. I drink right out of the bottle."
"Whatever guy said that money don't buy you pleasure didn't know where to go shopping"
- Quote
- Flag
Comment
-
apparently the docs are giving her a morphine drip so that she won't feel any pain from being deprived of food. also apparently, her parents don't like that, either. the father says he has "a grave concern that they'll expedite the process to kill her with an overdose of morphine." i feel bad for these people, but come on, let it go.
- Quote
- Flag
Comment
-
on a related note, david gibbs, the attorney for the schindlers (schiavo's parents), has gone insane. some quotes:
"Terri has past the point of no return." ok.
"[governer bush] has done everything he can". alright.
"What kind of man sits in the governor's mansion that would let a woman starve like this, who is clinging to life and crying out to be saved?" huh?
uh.... didn't you just say that she was past the point of no return, and that he's done everything he can?
- Quote
- Flag
Comment
-
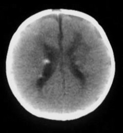
I just looked at her CT scan, and I'm truly amazed that this has gone on for so long. I've dealt with these issues before, and I've never seen them get to this point. A brain CT that looks like hers, is not only tragic, it's comical.
She has no cerebral cortex. Most of her brain has atrophied from the hypoxic insult, and essentially, she survives because her brainstem is still functional. This image, along with her flat eeg (not surprisingly, she has no cortex), would have been far more than enough evidence to "let her go", where I worked in an ICU.
I wonder how forceful the doctor's were with the parents. Obviously, they are at fault for allowing this travesty to continue for so many years.
Compare the following two images. Any moron can see the difference.
Truly sad.Experienced Community organizer. Yeah, let's choose him to run the free world. It will be historic. What could possibly go wrong...
"You're just a jaded cynical mother****er...." Jeffpeg
(more comments in my User Profile)
russbo.com
- Quote
- Flag
Comment
-
i don't about the doctor's fault thing, doc. especially considering that now we have an entire country of doctors talking about how ridiculous this is, in quite a forceful manner, and they still refuse to give up.
- Quote
- Flag
Comment
-
-
after she passes away to rest in peace, two months later people wont even remember her name.she is obviously suffering either way. i think that even if she could make the best of her condition or had any awareness, she would probably want to die, just to be at peace. would you want to be kept alive in such a condition if there is no hope for recovery?"Life is a run. In attack we run, in defense we run. When you can no longer run, time to die" - Shichiroji "Seven samurai"
- Quote
- Flag
Comment

Comment